
File number: 3420
Comments
-
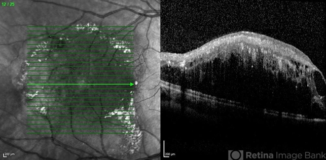
James B. Soque, CRA, OCT-C, COA, FOPS (February 21 2013)
Excellent Raster Scan with the Spectralis SD OCT.
What was the visual acuity of this young man?
Sign in to comment.
-
By Raj K. Maturi, MD
Midwest Eye Institute & Retina Partners Midwest - Uploaded on Feb 7, 2013.
- Last modified by Caroline Bozell on Sep 12, 2014.
- Reviewed by Caroline Bozell
- Rating
- Appears in
- Miscellaneous
- Condition/keywords
- optical coherence tomography (OCT), Spectralis
- Photographer
- Stephan Morrow, Midwest Eye Institute Indianapolis Indiana
- Imaging device
-
Scanning laser ophthalmoscope
Heidelberg Spectralis - Description
- 8-year-old male, Heidelberg Spectralis OCT, OD.