-
By Andrew N. Antoszyk, MD FASRS
Co-author(s): Andrew Antoszyk, MD, Charlotte Eye Ear Nose and Throat Associates - Uploaded on Aug 24, 2012.
- Last modified by Andrew N. Antoszyk, MD FASRS on Aug 24, 2012.
- Rating
- Appears in
- Miscellaneous
- Condition/keywords
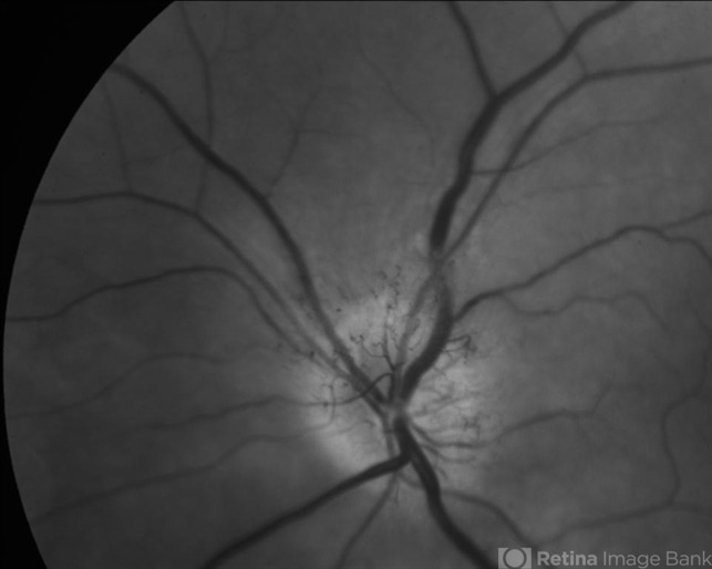
- anterior ischemic optic neuropathy
- Photographer
- Miichael McGowen, Charlotte Eye Ear Nose and Throat Associates
- Imaging device
- Fundus camera
- Description
- Red Free photograph of acute AION

Initializing download.