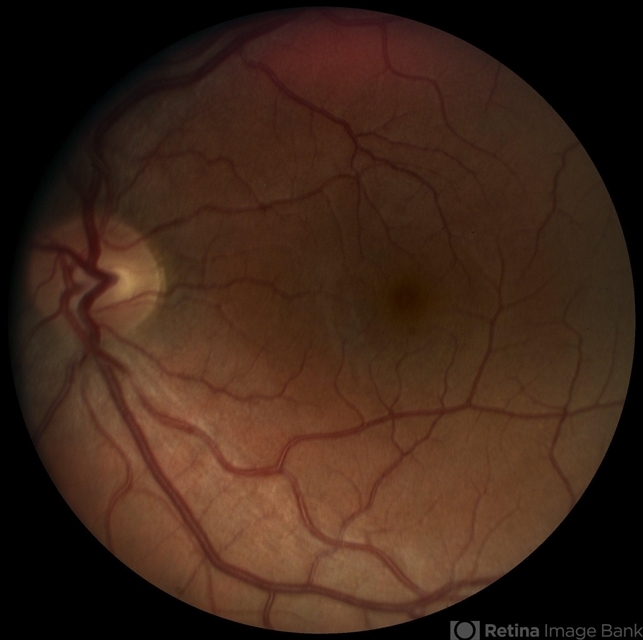
Wyburn-Mason Syndrome

file

File number: 3397


Comments

    Sign in to comment.

    Rating
    Appears in
    Miscellaneous
    Condition/keywords
    retinal arteriovenous malformations
    Photographer
    David Emmert, Wilmer Eye Institute, Johns Hopkins University
    Imaging device
    Fundus camera
    Description
    Fundus photographs and fluorescein angiogram of a 29-year-old male with asymptomatic racemose lesions characterized by direct artery-to-vein communication.

    Related files