-
By Hyung-Woo Kwak, MD
- Uploaded on Jan 11, 2013.
- Last modified by Chayal Patel on Jan 14, 2013.
- Reviewed by Chayal Patel
- Rating
- Appears in
- Miscellaneous
- Condition/keywords
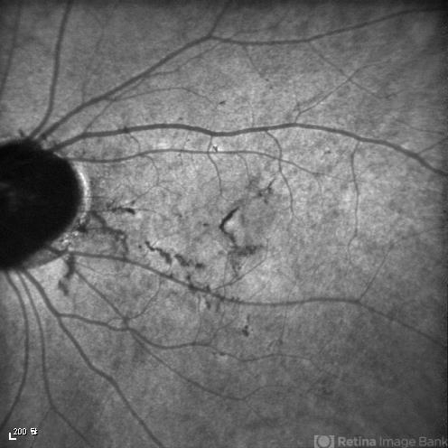
- myopic choroidal neovascularization (CNV), Bruch's membrane
- Photographer
- Misook Lee, Kyung Hee Univsersity Hospital, Seoul
- Imaging device
-
Fundus camera
Zeiss f 450 plus - Description
- An area of Bruch’s membrane rupture involving the fovea is seen on indocyanine green angiography: late phase (right).

Initializing download.