-
By Alex P. Hunyor, MD
Retina Associates
Co-author(s): From the slide collection of Dr ABL Hunyor - Uploaded on Jan 11, 2013.
- Last modified by Alex P. Hunyor, MD on Sep 27, 2013.
- Rating
- Appears in
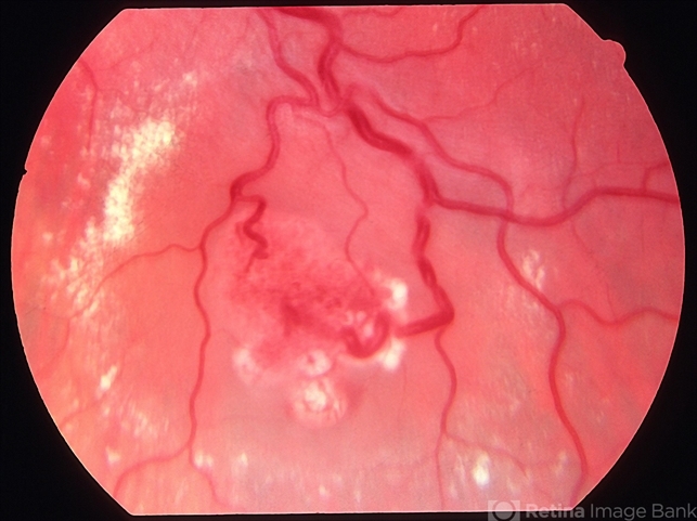
- Von Hippel Lindau disease
- Condition/keywords
- Von Hippel-Lindau, retinal capillary hemangioma
- Imaging device
- Fundus camera
- Description
- Retinal capillary haemangioma, left eye, in a young female with von Hippel-Lindau disease. Color image 2 showing the haemangioma with surrounding exudative detachment and lipid exudate.

Initializing download.