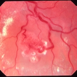
-
Retinal capillary hemangioma
Jan 11 2013 by Alex P. Hunyor, MD
Retinal capillary haemangioma nasal to optic disc, right eye.
Condition/keywords: retinal capillary hemangioma, Von Hippel-Lindau
-
Retinal capillary hemangioma 2
Jan 11 2013 by Alex P. Hunyor, MD
Retinal capillary haemangioma, right inferior periphery, in a 20-year-old female with von Hippel-Lindau disease.
Condition/keywords: hemangioma, retinal capillary hemangioma, Von Hippel-Lindau
-
Retinal capillary hemangiomas 3
Jan 11 2013 by Alex P. Hunyor, MD
Retinal capillary haemangiomas, left superior periphery, in a 20 year old female with von Hippel-Lindau disease.
Condition/keywords: hemangioma, retinal capillary hemangioma, Von Hippel-Lindau
-
Retinal capillary hemangioma 4 image 1
Jan 11 2013 by Alex P. Hunyor, MD
Retinal capillary haemangioma, left eye, in a young female with von Hippel-Lindau disease. Color image 1 showing extensive lipid deposition in the macula.
Condition/keywords: retinal capillary hemangioma, Von Hippel-Lindau
-
Retinal capillary hemangioma 4 image 2
Jan 11 2013 by Alex P. Hunyor, MD
Retinal capillary haemangioma, left eye, in a young female with von Hippel-Lindau disease. Color image 2 showing the haemangioma with surrounding exudative detachment and lipid exudate.
Condition/keywords: retinal capillary hemangioma, Von Hippel-Lindau
