-
By JEFFERSON R SOUSA, Tecg.º (Biomedical Systems Technology)
Lens Oftalmologia - Hospital Beneficiência Portuguesa - Uploaded on Jul 25, 2019.
- Last modified by Caroline Bozell on Jul 27, 2019.
- Rating
- Appears in
- Miscellaneous
- Condition/keywords
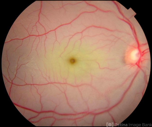
- arterial occlusion
- Photographer
- JEFFERSON R SOUSA - Study Center and Ophthalmological Research Dr. Andre M V Gomes, Institute Dr. Suel Abujamra São Paulo-Brazil
- Imaging device
-
Fundus camera
Topcon TRC-50 DX, Imaginet 5.0, angle de 50 graus. Flash 36 - Description
- Male patient 16-years-old, was admitted to the clinic with low vision failure. On evaluation, signs of arterial occlusion in the right eye were observed. The imaging exams in the clinical evaluation showed important changes in the blood flow of one of the carotid arteries (partial obstruction), probably atherosclerotic carotid disease.

Initializing download.