-
By Alex P. Hunyor, MD
Retina Associates
Co-author(s): From the slide collection of Dr ABL Hunyor - Uploaded on Jan 11, 2013.
- Last modified by Alex P. Hunyor, MD on Sep 26, 2013.
- Reviewed by Alex P. Hunyor, MD
- Rating
- Appears in
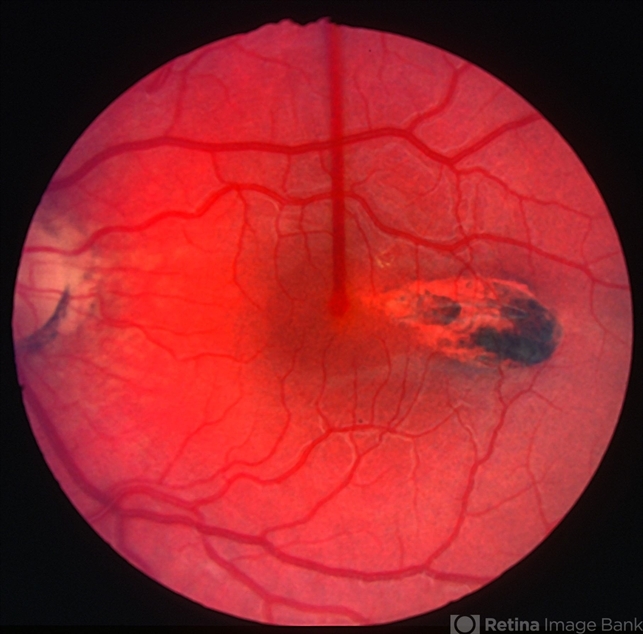
- Torpedo maculopathy
- Condition/keywords
- torpedo maculopathy
- Imaging device
- Fundus camera
- Description
- Torpedo maculopathy, left eye.

Initializing download.