-
Torpedo maculopathy
Jan 11 2013 by Alex P. Hunyor, MD
Torpedo maculopathy, left eye.
Condition/keywords: torpedo maculopathy
-
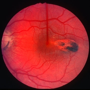
Torpedo maculopathy 2
Jan 11 2013 by Alex P. Hunyor, MD
Torpedo maculopathy, right eye.
Condition/keywords: torpedo maculopathy
