-
By Alex P. Hunyor, MD
Retina Associates
Co-author(s): From the slide collection of Dr ABL Hunyor - Uploaded on Jan 11, 2013.
- Last modified by Alex P. Hunyor, MD on Sep 26, 2013.
- Reviewed by Alex P. Hunyor, MD
- Rating
- Appears in
- Retinal vein occlusion
- Condition/keywords
- branch retinal vein occlusion (BRVO), collaterals
- Imaging device
- Fundus camera
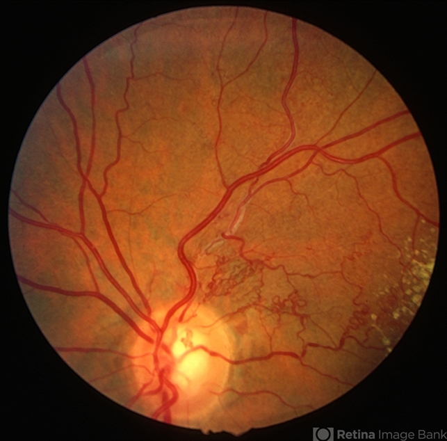
- Description
- Longstanding branch retinal vein obstruction with collaterals, telangiectasia, microaneurysms and exudates - color image 1.

Initializing download.