-
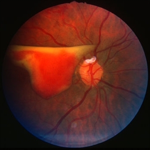
Preretinal hemorrhage - BRVO
Jan 11 2013 by Alex P. Hunyor, MD
Altered preretinal haemorrhage from neovascularisation due to right branch retinal vein obstruction (BRVO).
Condition/keywords: branch retinal vein occlusion (BRVO), preretinal hemorrhage
-
CRVO with cilioretinal artery occlusion
Jan 11 2013 by Alex P. Hunyor, MD
Nonischaemic central retinal vein obstruction (CRVO) with cilioretinal artery occlusion.
Condition/keywords: central retinal vein occlusion (CRVO), cilioretinal artery occlusion
-
BRVO - longstanding
Jan 11 2013 by Alex P. Hunyor, MD
Longstanding branch retinal vein obstruction with collaterals, telangiectasia, microaneurysms and exudates - color image 1.
Condition/keywords: branch retinal vein occlusion (BRVO), collaterals
-
BRVO - longstanding
Jan 11 2013 by Alex P. Hunyor, MD
Longstanding branch retinal vein obstruction with collaterals, telangiectasia, microaneurysms and exudates - color image 2.
Condition/keywords: branch retinal vein occlusion (BRVO)
-
CRVO ischemic - color image
Jan 11 2013 by Alex P. Hunyor, MD
Severely ischaemic central retinal vein obstruction (CRVO), right eye - color image.
Condition/keywords: central retinal vein occlusion (CRVO), ischemic CRVO
-
CRVO ischemic - FA 1
Jan 11 2013 by Alex P. Hunyor, MD
Severely ischaemic central retinal vein obstruction (CRVO), right eye - early fluorescein angiogram showing almost complete capillary non-perfusion.
Condition/keywords: ischemic CRVO
-
CRVO ischemic - FA 2
Jan 11 2013 by Alex P. Hunyor, MD
Severely ischaemic central retinal vein obstruction (CRVO), right eye - mid phase fluorescein angiogram.
Condition/keywords: ischemic CRVO
-
CRVO ischemic - FA 3
Jan 11 2013 by Alex P. Hunyor, MD
Severely ischaemic central retinal vein obstruction (CRVO), right eye - late phase fluorescein angiogram.
Condition/keywords: ischemic CRVO
-
CRVO with NV post LICRA - color image 1
Jan 11 2013 by Alex P. Hunyor, MD
Extensive NVD, NVE and vitreous haemorrhage complicating previous attempted laser-induced chorioretinal anastomosis for CRVO, left eye - color image.
Condition/keywords: central retinal vein occlusion (CRVO), laser treatment
-
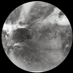
CRVO post LICRA - FA 1
Jan 11 2013 by Alex P. Hunyor, MD
Extensive NVD, NVE and vitreous haemorrhage complicating previous attempted laser-induced chorioretinal anastomosis for CRVO, left eye - early fluorescein angiogram. Note: this is a scanned film negative FA. Note also subretinal neovascularisation at superotemporal anastomosis site.
Condition/keywords: central retinal vein occlusion (CRVO), laser treatment
-
CRVO Post LICRA-FA 2
Sep 30 2013 by Alex P. Hunyor, MD
Extensive NVD, NVE and vitreous haemorrhage complicating previoius attempted laser-induced chorioretinal anastomosis for CRVO, left-eye, late fluorescein angiogram.
Condition/keywords: central retinal vein occlusion (CRVO), laser treatment
-
CRVO post LICRA - color image 2
Jan 11 2013 by Alex P. Hunyor, MD
Extensive NVD, NVE and vitreous haemorrhage complicating previous attempted laser-induced chorioretinal anastomosis for CRVO, left eye - color image taken 4 months following laser treatment (PRP plus focal ablation of CNV at superotemporal site).
Condition/keywords: central retinal vein occlusion (CRVO), laser treatment
-
BRVO with delayed onset CME - color image 1
Jan 11 2013 by Alex P. Hunyor, MD
Delayed-onset visual loss due to leakage from telangiectatic vessels in an eye with previous branch retinal vein obstruction (BRVO). Color image, right eye. This 56-year-old white female had noted blurred vision 3 years previously, which had resolved. She had recently noted gradual reduction in vision OD. VA 20/400. The fellow eye was normal.
Condition/keywords: branch retinal vein occlusion (BRVO)
-
BRVO with delayed onset CME - FA 1
Jan 11 2013 by Alex P. Hunyor, MD
Delayed-onset visual loss due to leakage from telangiectatic vessels in an eye with previous branch retinal vein obstruction (BRVO). Fluorescein angiogram 1 of 4.
Condition/keywords: branch retinal vein occlusion (BRVO)
-
BRVO with delayed onset CME - FA 2
Jan 11 2013 by Alex P. Hunyor, MD
Delayed-onset visual loss due to leakage from telangiectatic vessels in an eye with previous branch retinal vein obstruction (BRVO). Fluorescein angiogram 2 of 4.
Condition/keywords: branch retinal vein occlusion (BRVO)
-
BRVO with delayed onset CME - FA 3
Jan 11 2013 by Alex P. Hunyor, MD
Delayed-onset visual loss due to leakage from telangiectatic vessels in an eye with previous branch retinal vein obstruction (BRVO). Fluorescein angiogram 3 of 4.
Condition/keywords: branch retinal vein occlusion (BRVO)
-
BRVO with delayed onset CME - FA 4
Jan 11 2013 by Alex P. Hunyor, MD
Delayed-onset visual loss due to leakage from telangiectatic vessels in an eye with previous branch retinal vein obstruction (BRVO). Fluorescein angiogram 4 of 4.
Condition/keywords: branch retinal vein occlusion (BRVO)
-
BRVO with delayed onset CME - color image 2
Jan 11 2013 by Alex P. Hunyor, MD
Delayed-onset visual loss due to leakage from telangiectatic vessels in an eye with previous branch retinal vein obstruction (BRVO). Color image, right eye, 3 years following laser treatment. VA slowly recovered to 20/30.
Condition/keywords: branch retinal vein occlusion (BRVO)
