-
By Ahmad B. Tarabishy, MD
Retina Specialists of Tampa - Uploaded on Apr 19, 2019.
- Last modified by Caroline Bozell on Jul 12, 2019.
- Image of the week
-
Jul 14, 2019
View all images of the week - Rating
- Appears in
- Coats Disease
- Condition/keywords
- Coats' disease
- Imaging device
-
Fundus camera
Zeiss Cirrus Photo - Description
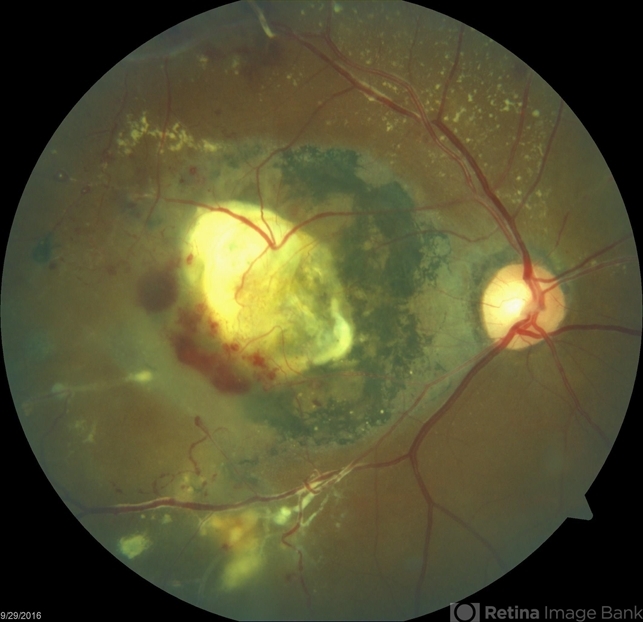
- 57-year-old man referred for macular hemorrhage. Examination reveals a large macular scar along with vascular sheathing, vascular irregularity, and extensive exudation. Fluorescein angiogram revealed findings of lightbulb vascular aneurysms and capillary non-perfusion.

Initializing download.