-
By Gary R. Cook, MD, FACS
- Uploaded on Apr 2, 2019.
- Last modified by Caroline Bozell on Aug 2, 2019.
- Rating
- Appears in
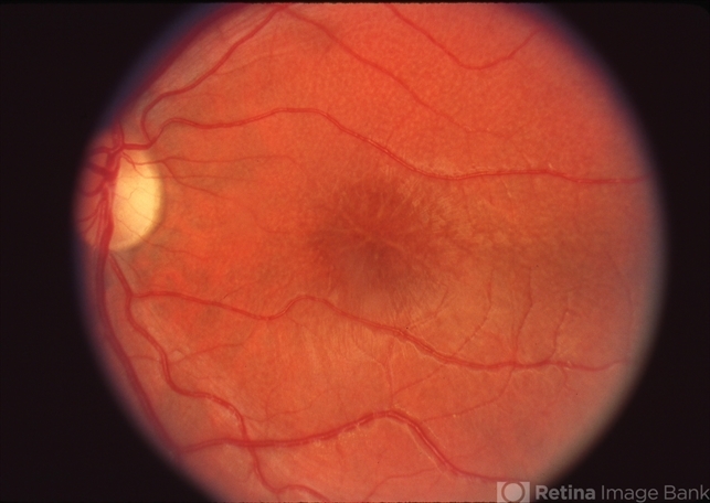
- RETINOSCHISIS
- Condition/keywords
- retinoschisis, juvenile retinoschisis, stellate maculopathy
- Imaging device
- Fundus camera
- Description
- 10-year old white male with stellate macular lesion OS due to juvenile retinoschisis.

Initializing download.