-
Outer Layer Holes in Retinoschisis
Apr 2 2019 by Gary R. Cook, MD, FACS
46-year-old white male with3 outer layer holes present in bullous adult-type retinoschisis OD; V.A. = 20/25-3.
Imaging device: Topcon VT-50
Condition/keywords: bullous retinoschisis, retinoschisis
-
Whitish Flecks in Bullous Retinoschisis
Apr 2 2019 by Gary R. Cook, MD, FACS
Image demonstrating numerous whitish surface flecks in an area of bullous retinoschisis OS.
Condition/keywords: bullous retinoschisis, retinoschisis
-
Outer Layer Holes with Rolled Edges in Retinoschisis
Apr 2 2019 by Gary R. Cook, MD, FACS
71-year-old white female with outer layer retinal holes with rolled edges in an area of bullous, adult-type retinoschisis OS
Condition/keywords: bullous retinoschisis, retinoschisis
-
Outer Layer Holes with Rolled Edges in Retinoschisis
Apr 2 2019 by Gary R. Cook, MD, FACS
Another view of a 71-year-old white female with rolled edges of outer layer retinal holes in bullous, adult-type retinoschisis OS.
Condition/keywords: bullous retinoschisis, retinoschisis
-
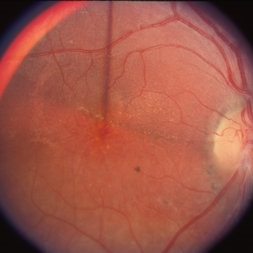
Juvenile Retinoschisis
Apr 2 2019 by Gary R. Cook, MD, FACS
10-year old white male with stellate macular lesion OD secondary to juvenile retinoschisis; V.A. = 20/100
Condition/keywords: juvenile retinoschisis, retinoschisis, stellate maculopathy
-
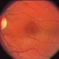
Stellate Maculopathy in Juvenile Retinoschisis
Apr 2 2019 by Gary R. Cook, MD, FACS
10-year old white male with stellate macular lesion OS due to juvenile retinoschisis.
Condition/keywords: juvenile retinoschisis, retinoschisis, stellate maculopathy
-
Stellate Maculopathy of Juvenile Retinoschisis
Apr 2 2019 by Gary R. Cook, MD, FACS
13-year-old white male with stellate maculopathy OD due to juvenile retinoschisis.
Condition/keywords: retinoschisis, stellate maculopathy
-
Wagon Wheel Macula in Juvenile Retinoschisis
Apr 2 2019 by Gary R. Cook, MD, FACS
13-year-old white male with a typical "wagon wheel macula" OS due to juvenile retinoschisis.
Condition/keywords: juvenile retinoschisis, retinoschisis, stellate maculopathy
-
Juvenile Retinoschisis
Apr 2 2019 by Gary R. Cook, MD, FACS
Temporal periphery of a 15-year-old white male with juvenile retinoschisis OD.
Condition/keywords: juvenile retinoschisis, retinoschisis
-
Juvenile Retinoschisis
Apr 2 2019 by Gary R. Cook, MD, FACS
Posterior pole of the same 15-year-old white male with juvenile retinoschisis OD.
Condition/keywords: juvenile retinoschisis, retinoschisis
-
Juvenile Retinoschisis
Apr 2 2019 by Gary R. Cook, MD, FACS
11-year-old male with juvenile retinoschisis with stellate maculopathy OD; V.A. = 20/40
Condition/keywords: juvenile retinoschisis, retinoschisis, stellate maculopathy
