-
By Jessica Norkus
Retina Specialists of Michigan - Uploaded on Mar 29, 2019.
- Last modified by Caroline Bozell on Mar 29, 2019.
- Rating
- Appears in
- 29-Mar-2019
- Condition/keywords
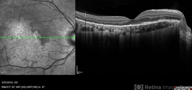
- macula serpiginous choroidopathy, macula lesion, optical coherence tomography (OCT), Heidelburg Spectralis
- Photographer
- Jessica Norkus
- Imaging device
-
Optical coherence tomography system
Heidelberg Spectralis - Description
- Heidelberg single horizontal scan image of 20-year-old female presenting with serpiginous choroidal atrophy. Patient was unaware of vision loss OD, until accidentally covering OS and noticing the change. Acuity of 20/200 OD and 20/15 OS at time of imaging.

Initializing download.