-
By Gary R. Cook, MD, FACS
- Uploaded on Mar 26, 2019.
- Last modified by Caroline Bozell on Aug 8, 2019.
- Rating
- Appears in
- CSR
- Condition/keywords
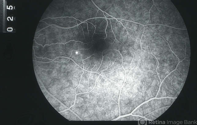
- central serous retinopathy (CSR), fluorescein angiogram (FA), fluorescein leakage, FA mid phase
- Imaging device
-
Fundus camera
Topcon VT-50 - Description
- 32 year old white female with acute CSR OS; early venous filling phase of FA showing a pinpoint leak in inferonasal macula; VA = 20/30-2.

Initializing download.