- 
            
             By Lancaster Course in Ophthalmology By Lancaster Course in Ophthalmology
 1980
- Uploaded on Mar 4, 2019.
- Last modified by Caroline Bozell on Mar 12, 2019.
- Rating
- Appears in
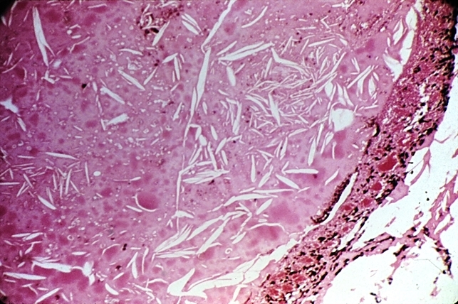
- Unit 13 Retinoblastoma and Pseudoglioma
- Condition/keywords
- pseudoglioma, Coats' disease, exudates
- Description
- Pseudoglioma: high-power view of an eye with Coats' disease, showing protein-rich exudates and cholesterol clefts ( x25).

 
        
 Initializing download.
                Initializing download. 
             
            