-
By Lancaster Course in Ophthalmology
1980 - Uploaded on Mar 4, 2019.
- Last modified by Caroline Bozell on Mar 12, 2019.
- Rating
- Appears in
- Unit 13 Retinoblastoma and Pseudoglioma
- Condition/keywords
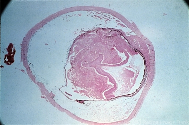
- pseudoglioma, Coats' disease, exudative detachment
- Description
- Pseudoglioma: Coats' disease with exudative detachment of the retina.

Initializing download.