-
By Lancaster Course in Ophthalmology
1980 - Uploaded on Feb 27, 2019.
- Last modified by Caroline Bozell on Mar 12, 2019.
- Rating
- Appears in
- Unit 12 Hypotony and Glaucoma
- Condition/keywords
- sequelae, optic atrophy
- Description
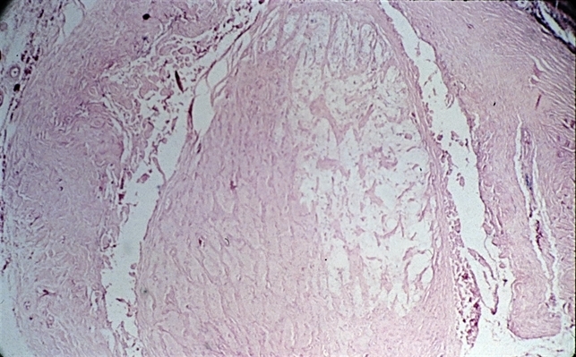
- Sequelae. Cavernous degeneration of the optic nerve (Schnabel's cavernous atrophy) shows cystic spaces which appear clear in hematoxylin and eosin stained sections (H&E x21).

Initializing download.