-
By Lancaster Course in Ophthalmology
1980 - Uploaded on Feb 27, 2019.
- Last modified by Caroline Bozell on Mar 12, 2019.
- Rating
- Appears in
- Unit 12 Hypotony and Glaucoma
- Condition/keywords
- sequelae
- Description
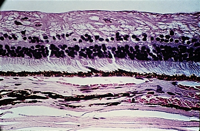
- Sequelae. The inner retinal layers are atrophic in this case of long standing glaucoma (H&E x101).

Initializing download.