-
By Lancaster Course in Ophthalmology
1980 - Uploaded on Feb 26, 2019.
- Last modified by Caroline Bozell on Mar 8, 2019.
- Rating
- Appears in
- Unit 10 Pathology of the Crystalline Lens
- Condition/keywords
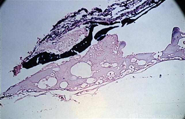
- cataract, Elschnig's spots, Wedl cells
- Description
- Regeneration cataract with Elschnig's pearls ( X 16). Similar bladder cells (Wedl cells) are seen beneath the posterior capsule in a posterior subcapsular cataract. These are found after extracapsular extraction. (Scheie Eye Institute, No. 4083.)

Initializing download.