-
By Lancaster Course in Ophthalmology
1980 - Uploaded on Feb 26, 2019.
- Last modified by Caroline Bozell on Mar 8, 2019.
- Rating
- Appears in
- Unit 09 Pathology of the Retina
- Condition/keywords
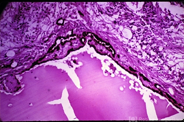
- retinal pigment epithelial proliferation
- Description
- Retroretinal RPE proliferation forming a membrane.

Initializing download.