-
By Lancaster Course in Ophthalmology
1980 - Uploaded on Feb 26, 2019.
- Last modified by Caroline Bozell on Mar 8, 2019.
- Rating
- Appears in
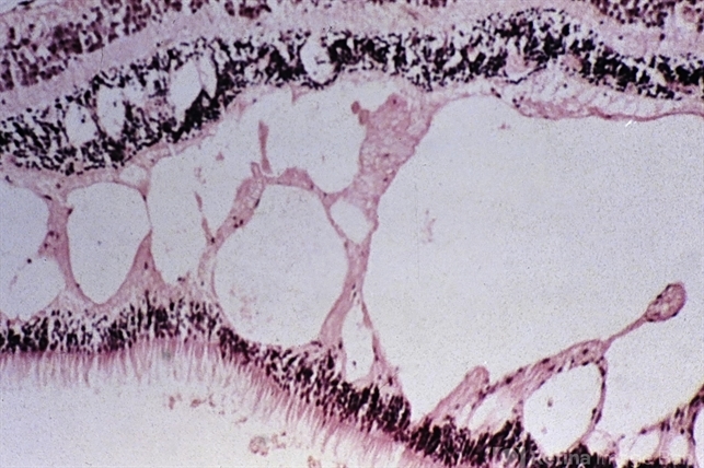
- Unit 09 Pathology of the Retina
- Condition/keywords
- cystoid macular degeneration, retinoschisis, iridocyclitis
- Description
- Macular cystic degeneration and early retinoschsis in eye with chronic iridocyclitis.

Initializing download.