-
By Lancaster Course in Ophthalmology
1980 - Uploaded on Feb 26, 2019.
- Last modified by Caroline Bozell on Mar 7, 2019.
- Rating
- Appears in
- Unit 09 Pathology of the Retina
- Condition/keywords
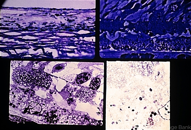
- Type Ill systemic mucopolysaccharidosis, Sanfilippo syndrome, retinal pigment epithelium
- Description
- Type Ill systemic mucopolysaccharidosis (San Filippo syndrome). The retinal pigment epithelium contains excessive mucopolysaccharide (upper left: colloidal iron), which corresponds to vacuoles seen by phase-contrast(upper right) and to vacuoles with a fibrillogranular material as seen by electron microscopy (lower views). There is also degeneration of the outer segments of the photoreceptor cells and thinning of the outer nuclear layer of the retina (upper right and lower left}.

Initializing download.