- 
            
             By Lancaster Course in Ophthalmology By Lancaster Course in Ophthalmology
 1980
- Uploaded on Feb 26, 2019.
- Last modified by Caroline Bozell on Mar 7, 2019.
- Rating
- Appears in
- Unit 09 Pathology of the Retina
- Condition/keywords
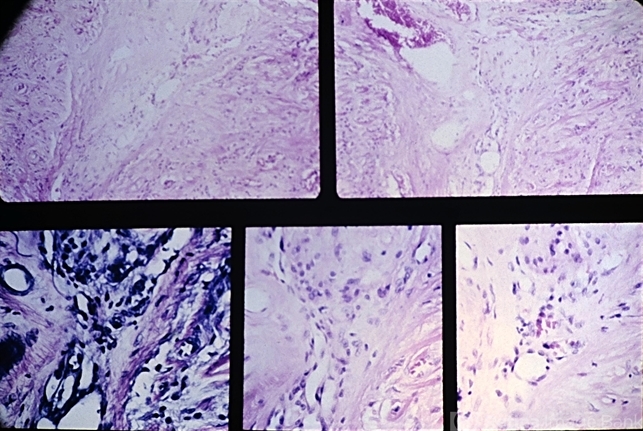
- central retinal vein occlusion (CRVO), lamina cribrosa, endothelial
- Description
- Central retinal vein occlusion. There is a recanalized thrombus in the central retinal vein at the level of the posterior aspect of the lamina cribrosa. Prominent endothelial cell proliferation is present at the proximal area of the thrombus.

 
        
 Initializing download.
                Initializing download. 
             
             
             
             
             
             
             
             
             
             
            