-
By Lancaster Course in Ophthalmology
1980 - Uploaded on Feb 20, 2019.
- Last modified by Caroline Bozell on Feb 28, 2019.
- Rating
- Appears in
- Unit 03 Granulomatous Inflammations of the Eye
- Condition/keywords
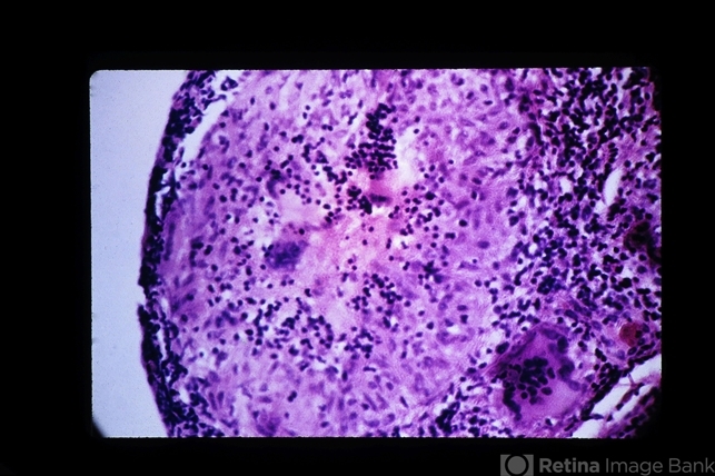
- noncaseating tubercle, Langhans giant cell
- Description
- Higher-power view showing noncaseating tubercle with Langhans' giant cells ( x65).

Initializing download.