-
By Hamid Ahmadieh, MD
Labbafinejad Medical Center
Co-author(s): Ramin Nourinia , MD ; Ophthalmic Research Center, Labbafinejad Medical Center, Shahid Beheshti University of Medical Sciences , Tehran - Uploaded on Dec 22, 2012.
- Last modified by Hamid Ahmadieh, MD on Apr 14, 2013.
- Reviewed by Alex P. Hunyor, MD
- Rating
- Appears in
- Miscellaneous
- Condition/keywords
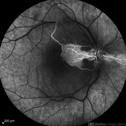
- central retinal artery occlusion (CRAO), cilioretinal sparing
- Photographer
- Zohre Salimi; Labbafinejad Medical Center, Shahid Beheshti University of Medical Sciences , Tehran
- Imaging device
- Heidelberg HRA
- Description
- Early phase FA image of the right eye of a 34-year-old man with sudden drop of vision due to CRAO. The macula is involved despite cilioretinal artery sparing .

Initializing download.