-
By Olivia Rainey
Retina Specialists of Michigan - Uploaded on Jan 15, 2019.
- Last modified by Caroline Bozell on Jan 15, 2019.
- Rating
- Appears in
- Miscellaneous
- Condition/keywords
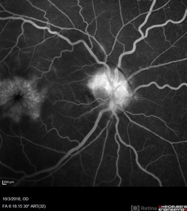
- Weiss ring, fluorescein leakage, fluorescein angiogram (FA), Heidelburg Spectralis, 30 degrees, optic nerve, uveitis, sarcoidosis, cystoid macular edema (CME)
- Photographer
- Olivia Rainey
- Imaging device
-
Fundus camera
Heidelberg Spectralis - Description
- Fluorescein angiogram of a 55-year-old female with a Weiss ring affecting her right eye. Patient was diagnosed with sarcoidosis. She has cystoid macular edema secondary to panuveitis.

Initializing download.