-
By Darin R. Goldman, MD
Retina Group of Florida - Uploaded on Dec 29, 2018.
- Last modified by Caroline Bozell on Jan 3, 2019.
- Rating
- Appears in
- 29-Dec-2018
- Condition/keywords
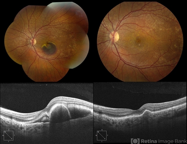
- Malattia Leventinese, Doyne's Honeycomb, familial drusen, submacular hemorrhage
- Photographer
- Robin Lapointe, CRA, Retina Group of Florida
- Imaging device
-
Fundus camera
Topcon TRC 50 DX - Description
- Fundus photograph and OCT of a 37-year-old female with a presumed diagnosis of Malattia Leventinese. One of the more characteristic features of this condition, as seen with this case, is the radiating pattern of drusen and particularly their location nasal to the optic nerve. There is a submacular hemorrhage due to a secondary CNV, which resolved after a series of anti-VEGF therapy with ranibizumab. The followup images (right side) are from 3.5 months after presentation where her VA recovered to 20/20.

Initializing download.