-
By John S. King, MD
Retina Associates, PA - Uploaded on Dec 5, 2018.
- Last modified by John S. King, MD on Dec 11, 2018.
- Rating
- Appears in
- Miscellaneous
- Condition/keywords
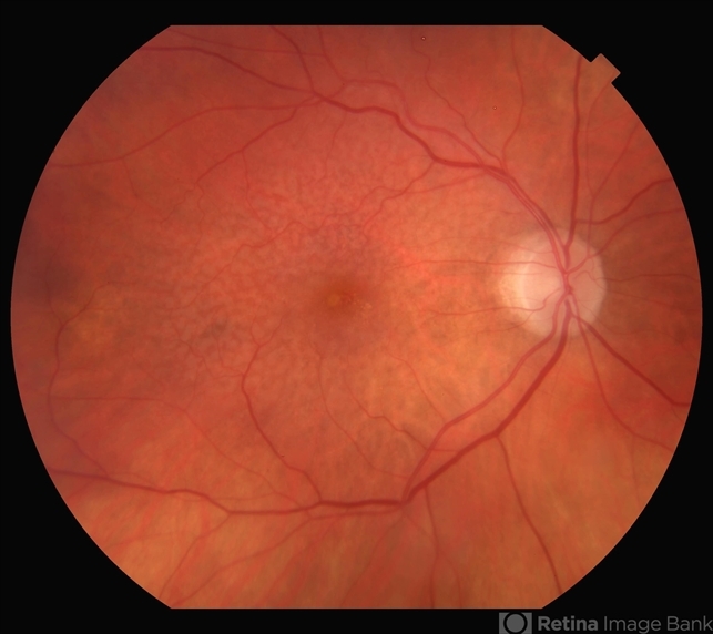
- reticular drusen
- Photographer
- Maisee Yang
- Imaging device
-
Fundus camera
Topcon - Description
- 82-year-old white female asymptomatic OD (20/25); new CNVM in fellow eye. Also mild ERM and an aquired vitelliform like lesion centrally.

Initializing download.