-
By Dhaivat Shah
Sankara Nethralaya - Uploaded on Aug 25, 2018.
- Last modified by Caroline Bozell on Aug 28, 2018.
- Rating
- Appears in
- Imaging marvels
- Condition/keywords
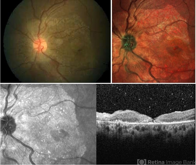
- blunt trauma
- Imaging device
- Spectralis
- Description
- 28-year-old male. Post blunt trauma with tennis ball. Fundus color photo shows large area of retinal thinning. Multi color image shows dull red color over fovea, depicting thinning. SD-OCT shows inner retinal ischemia and foveal thinning with early macular hole formation.

Initializing download.