-
By Pushkar Dhir
Sri Sankardeva Netharalya
Co-author(s): Ronel Soibam , Divakant Mishra , Awaneesh Upadhyay , Hemlata Deka , Manabjyoti Burman, Parvez Bhat - Uploaded on Jul 31, 2018.
- Last modified by Caroline Bozell on Jul 31, 2018.
- Rating
- Appears in
- Miscellaneous
- Condition/keywords
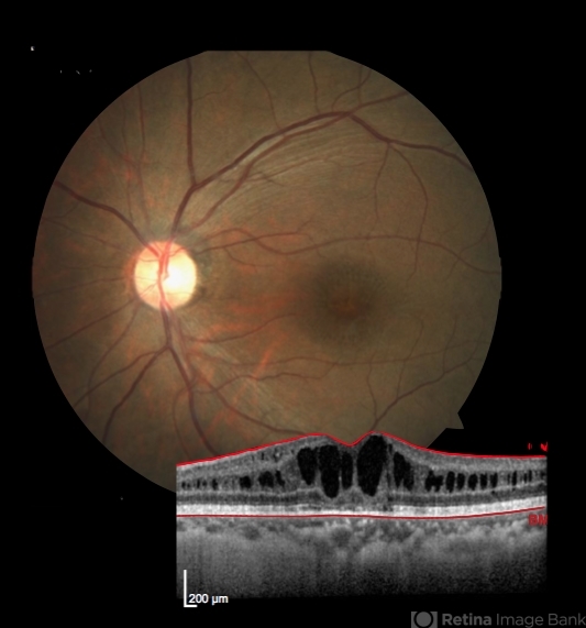
- myopic foveoschisis, cartwheel appearance
- Photographer
- Pushkar Dhir
- Imaging device
- Optical coherence tomography system
- Description
- This 37-year-old male presented to us with BCVA of 6/18 . Fundus showed typical cartwheel appearance and was diagnosed with B/L foveoschisis. HRA-OCT was done for documentation which showed typical schitic pattern of fovea . Currently started on dorzolamide eye drops.

Initializing download.