File number: 28296
Comments
-
Hosam Attia, MD (June 26 2018)Nicely Captured!
Thank you for sharing and for the description, since PFCL could be easily missed without that.
was there a history of trauma/ zonulysis , specially w/ PCFL in the A.C in a phakic patient ?
why the PFCL is not settling completely inferiorly in the A.C/ Angle, while patient is upright for photography , specially with the surface tension exerted on it, superiorly form the gas bubble, which is another reason for it to settle down even more !
Is the angle shallow inferiorly ??
Is there corneal touch as well ??
Was Viscoelastic used intra-operatively in the AC for any reason and may be retained, but if it is two weeks, it should have washed out any ways !!
Sign in to comment.
-
By Maria Stephanie R. Jardeleza, MD
North Carolina Retina Associates
Co-author(s): M. Stephanie R. Jardeleza, M.D., Retina Specialist, San Antonio Eye Center, SA, TX - Uploaded on Jun 21, 2018.
- Last modified by Caroline Bozell on Jun 22, 2018.
- Rating
- Appears in
- Miscellaneous
- Condition/keywords
- vitreous substitutes, retained perfluorocarbon
- Photographer
- Andy Zepeda, COA, Retina Clinic, San Antonio Eye Center, San Antonio, TX
- Imaging device
- Photo slit lamp biomicroscope
- Description
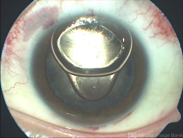
- Anterior segment photographs of 30-year-old male who underwent superior rhegmatogenous retinal detachment repair with intraocular gas tamponade. Perfluorocarbon was used to flatten the macula to prevent a macular fold and was removed during PFC/air exchange. Post operative week two visit shows gas migration into the anterior chamber with retained PFC on the posterior aspect of the gas bubble/anterior surface of the lens. Patient had been maintaining face down positioning.

Initializing download.