
File number: 28252
Comments
-
Suber S. Huang, MD, MBA, FASRS (June 7 2018)
Impressive capture. Details of when this occurred in relation to pattern laser treatment would be very interesting to know. One potential complication of this treatment is laser to neovascular vessels and bleeding, typically avoided with single shot laser. Please consider adding to the clinical description. Thanks for sharing!
Sign in to comment.
-
By awaneesh m upadhyay, MBBS, DNB
Co-author(s): Dr Divakant Misra, Dr PushKar Dhir,Dr Ronel Soibam - Uploaded on May 31, 2018.
- Last modified by Caroline Bozell on Nov 2, 2018.
- Image of the week
-
Sep 2, 2018
View all images of the week - Rating
- Appears in
- Miscellaneous
- Condition/keywords
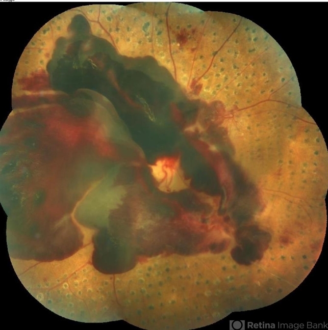
- proliferative diabetic retinopathy (PDR), subhyaloid hemorrhage, laser photocoagulation
- Photographer
- Dr Awaneesh Upadhyay
- Imaging device
- Fundus camera
- Description
- Right eye fundus photography of a 63-year-old male came with sudden onset defective vision with history of laser photocoagulation done for proliferative diabetic retinopathy.