-
By Brenda Fallas
Bascom Palmer Eye Institute
Co-author(s): Dr. J. William Harbour, Bascom Palmer Eye Institute, Miami, FL - Uploaded on Apr 27, 2018.
- Last modified by Caroline Bozell on Apr 27, 2018.
- Rating
- Appears in
- 27-Apr-2018
- Condition/keywords
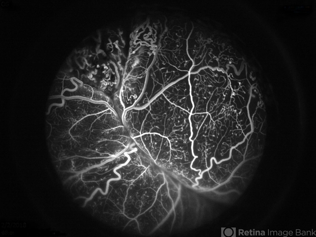
- Coats' disease, FA early phase, fluorescein angiogram (FA), retinal telangiectasia
- Photographer
- Brenda Fallas, Bascom Palmer Eye Institute, Miami, FL
- Imaging device
- Retcam III 130 degree lens
- Description
- 3-year-old boy with unilateral Coats' Disease FA photo.

Initializing download.