- 
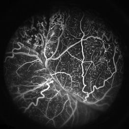
     Coats' Disease FA Coats' Disease FAApr 27 2018 by Brenda Fallas 3-year-old boy with unilateral Coats' Disease FA photo. Photographer: Brenda Fallas, Bascom Palmer Eye Institute, Miami, FL Imaging device: Retcam III 130 degree lens Condition/keywords: Coats' disease, FA early phase, fluorescein angiogram (FA), retinal telangiectasia 
