-
By Martin J Siemerink, MD, PhD
Retina Operatie Centrum
Co-author(s): Sarah Welch, University of Auckland, Auckland, New Zealand - Uploaded on Apr 16, 2018.
- Last modified by Caroline Bozell on Apr 17, 2018.
- Rating
- Appears in
- 16-Apr-2018
- Condition/keywords
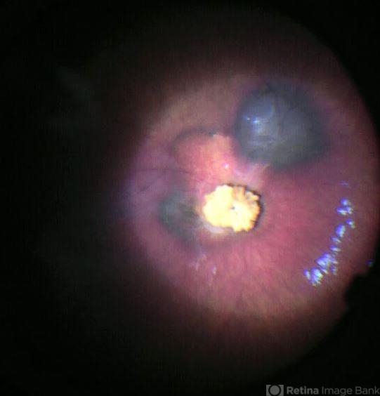
- depigmented vitreous blood, subretinal hemorrhage, staphyloma
- Photographer
- Martin Siemerink, University of Auckland, Auckland, New Zealand
- Imaging device
- Zeiss Resight Fundus Viewing System Lumera
- Description
- 1-year-old girl with previous severe head injury and secondary vitreous hemorrhage. Vitrectomy was performed 3 months after the injury. Fundus image after vitrectomy.

Initializing download.