-
By Olivia Rainey
Retina Specialists of Michigan
Co-author(s): Scott Westhouse, DO - Uploaded on Mar 30, 2018.
- Last modified by Olivia Rainey on Apr 3, 2020.
- Rating
- Appears in
- Miscellaneous
- Condition/keywords
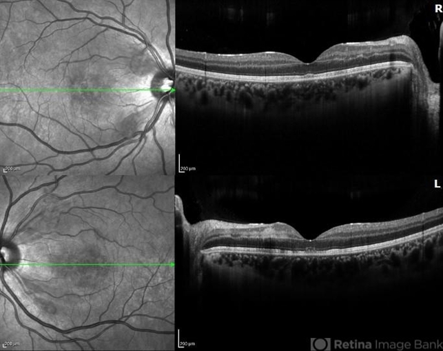
- Purtscher's retinopathy, optical coherence tomography (OCT), bilateral, acute pancreatitis
- Photographer
- Olivia Rainey
- Imaging device
-
Optical coherence tomography system
Spectralis - Description
- Bilateral OCTS of a 21-year-old female with Purtscher's Retinopathy affecting both eyes. Patient developed acute pancreatitis triggered by hypercalcemia and likely increased alcohol consumption.

Initializing download.