-
By Kristen Wagner
Tennessee Retina - Uploaded on Mar 26, 2018.
- Last modified by Caroline Bozell on Mar 27, 2018.
- Rating
- Appears in
- Miscellaneous
- Condition/keywords
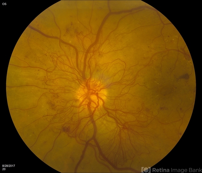
- neovascularization (NV), optic disc, diabetes, proliferative diabetic retinopathy (PDR), neovascularization of the disc (NVD), optic nerve
- Photographer
- Kristen Wagner, COT, OSC
- Imaging device
- Fundus camera
- Description
- Fundus photograph of a young woman with uncontrolled Diabetes Type II with severe neovascularization of the disc (NVD) and PDR.

Initializing download.