-
By Rania G Estawro, FRCS
Alwatany Eye Hospital - Uploaded on Mar 24, 2018.
- Last modified by Caroline Bozell on Mar 27, 2018.
- Rating
- Appears in
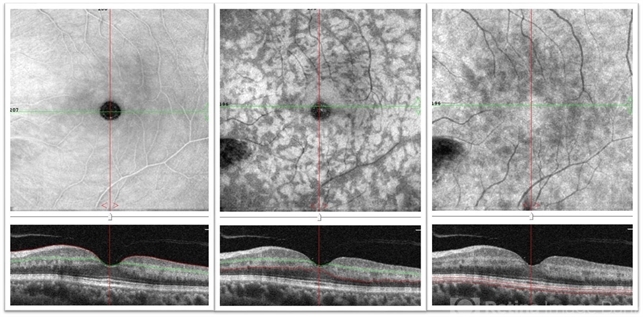
- PAMM
- Condition/keywords
- paracentral acute middle maculopathy
- Photographer
- Rania Estawro, Al Watany Eye Hospital, Cairo, Egypt.
- Imaging device
-
Optical coherence tomography system
RTVue XR; Optovue, Fremont, CA, USA - Description
- Enface OCT & Line scan at different segmentation levels, in male patient with sudden diminution of vision , showing para-central acute middle maculopathy.

Rania G Estawro, FRCS
Initializing download.