-
By Theodore Leng, MD, MS, FASRS
Byers Eye Institute at Stanford University School of Medicine - Uploaded on Sep 14, 2017.
- Last modified by Theodore Leng, MD, MS, FASRS on Sep 18, 2017.
- Rating
- Appears in
- CME
- Condition/keywords
- cystoid macular edema (CME), NSAIDs, steroids
- Description
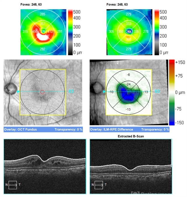
- Resolution of CME after topical steroids and NSAIDs.

Initializing download.