-
By Eitae Kim, MD
Kims retina clinic - Uploaded on Aug 1, 2017.
- Last modified by Caroline Bozell on Aug 2, 2017.
- Rating
- Appears in
- Miscellaneous
- Condition/keywords
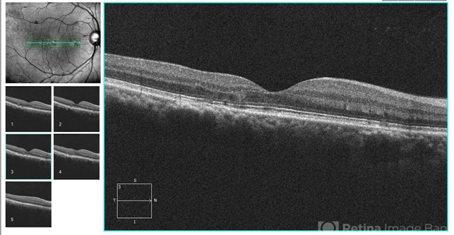
- optical coherence tomography (OCT), retinal pigment epithelium
- Photographer
- Eitae Kim, BOIM retinal center, Pureun eye hospital
- Imaging device
-
Optical coherence tomography system
Cirrus, Zeiss - Description
- OCT image of 51-year-old male with recurrent retinal pigment epithelitis.

Initializing download.