
File number: 27100
Comments
-
Manish Nagpal, MD, FRCS (UK), FASRS (May 5 2017)
appreciate your comments suber....
-
Suber S. Huang, MD, MBA, FASRS (May 5 2017)
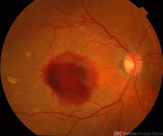
Demonstrates nicely how macroaneurysms frequently involve pre-retina, retinal, and sub-retinal tissues. Nice!
Sign in to comment.
-
By Manish Nagpal, MD, FRCS (UK), FASRS
Retina Foundation
Co-author(s): Avijit Vishnoi - Uploaded on Apr 1, 2017.
- Last modified by Caroline Bozell on May 26, 2017.
- Image of the week
-
May 28, 2017
View all images of the week - Rating
- Appears in
- Miscellaneous
- Condition/keywords
- macroaneurysm, ruptured macroaneurysm
- Photographer
- Avijit Vishnoi
- Imaging device
- Fundus camera
- Description
- Case of a ruptured macroaneurysm with subhyaloid and subretinal blood.