-
By Hamid Ahmadieh, MD
Labbafinejad Medical Center
Co-author(s): Nasser Shoeibi, MD ; Mashad University of Medical Sciences, Iran - Uploaded on Mar 15, 2017.
- Last modified by Hamid Ahmadieh, MD on Mar 19, 2017.
- Rating
- Appears in
- Miscellaneous
- Condition/keywords
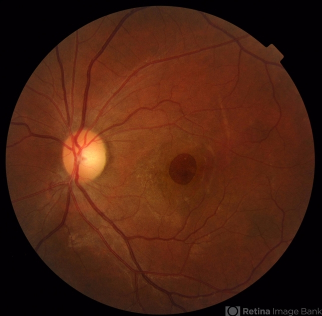
- color fundus photograph, traumatic macular hole, choroidal rupture
- Photographer
- Solmaz Shahmohammad, Negah Eye Center, Tehran,Iran
- Imaging device
- Fundus camera
- Description
- Color fundus photograph of the left eye of a 30 -year-old woman with a history of closed eye injury leading to a large traumatic macular hole and two concentric choroidal ruptures.

Initializing download.