-
By Hamid Ahmadieh, MD
Labbafinejad Medical Center
Co-author(s): Narsis Daftarian, Ophthalmic Research Center, Tehran, Iran - Uploaded on Feb 25, 2017.
- Last modified by Hamid Ahmadieh, MD on Mar 19, 2017.
- Rating
- Appears in
- Miscellaneous
- Condition/keywords
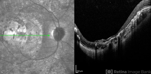
- infrared image, optical coherence tomography (OCT), macular coloboma
- Photographer
- Shabnam Poureh, Negah Eye Center, Tehran, Iran
- Imaging device
- Optical coherence tomography system
- Description
- Infrared and OCT images of the right eye of a 25-year-old woman with bilateral macular colobomata and pigmentary retinopathy similar to Leber's congenital amaurosis.

Initializing download.