-
By Courtney Crawford, MD, FACS
STAR RETINA - Uploaded on Nov 2, 2016.
- Last modified by Caroline Bozell on Nov 3, 2016.
- Rating
- Appears in
- Miscellaneous
- Condition/keywords
- placoid, maculopathy
- Description
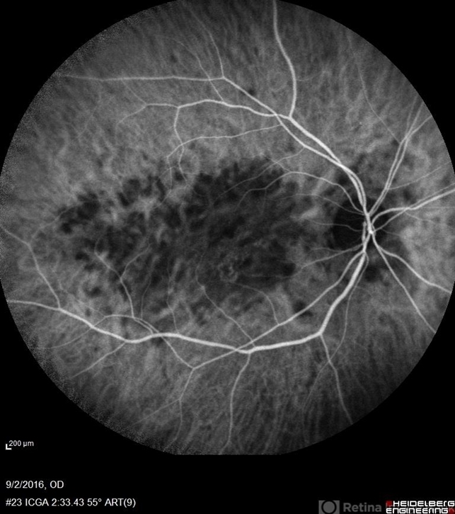
- 68-year-old woman with decreased central vision over past few months following viral illness.

Initializing download.