-
Persistent Placoid Maculopathy
Nov 2 2016 by Courtney Crawford, MD, FACS
68-year-old woman with decreased central vision over past few months following viral illness.
Condition/keywords: maculopathy, placoid
-
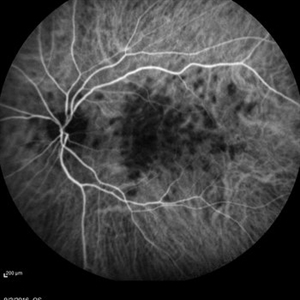
Persistent Placoid Maculopathy
Nov 2 2016 by Courtney Crawford, MD, FACS
68-year-old woman with decreased central vision over past few months following viral illness.
Condition/keywords: maculopathy, placoid
-
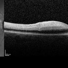
Persistent Placoid Maculopathy
Nov 2 2016 by Courtney Crawford, MD, FACS
68-year-old woman with decreased central vision over past few months following viral illness.
Condition/keywords: maculopathy, placoid
-
Persistent Placoid Maculopathy
Nov 2 2016 by Courtney Crawford, MD, FACS
68-year-old woman with decreased central vision over past few months following viral illness
Condition/keywords: maculopathy, placoid
-
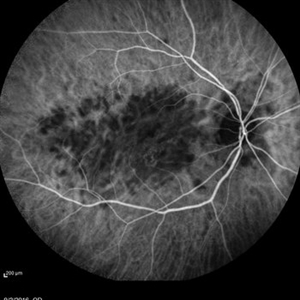
Persistent Placoid Maculopathy
Nov 2 2016 by Courtney Crawford, MD, FACS
Fluorescein angiography of a 68-year-old woman with decreased vision for past few months following viral illness.
Condition/keywords: maculopathy, placoid
-
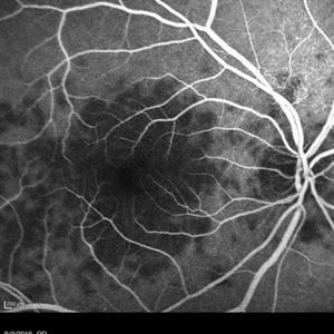
Persistent Placoid Maculopathy
Nov 2 2016 by Courtney Crawford, MD, FACS
Fluorescein angiography of a 68-year-old woman with decreased vision for past few months following viral illness.
Condition/keywords: maculopathy, placoid
-
Central Retinal Artery Occlusion with Cilioretinal Artery Sparing
Nov 3 2016 by Courtney Crawford, MD, FACS
60-year-old female with sudden loss of vision of right eye.
Photographer: Champagne Tinree
Condition/keywords: central retinal artery occlusion (CRAO), cilioretinal artery, cilioretinal sparing
-
Central Retinal Artery Occlusion with Cilioretinal Artery Sparing
Nov 3 2016 by Courtney Crawford, MD, FACS
60-year-old female with sudden loss of vision of right eye.
Photographer: Champagne Tinree
Condition/keywords: central retinal artery occlusion (CRAO), cilioretinal artery, cilioretinal sparing
-
Central Retinal Artery Occlusion with Cilioretinal Artery Sparing
Nov 3 2016 by Courtney Crawford, MD, FACS
60-year-old female with sudden loss of vision of right eye.
Photographer: Champagne Tinree
Condition/keywords: central retinal artery occlusion (CRAO), cilioretinal artery, cilioretinal sparing
-
Retinal Capillary Hemangioma
Nov 9 2016 by Courtney Crawford, MD, FACS
Fundus photograph of a 30-year-old woman with a retinal capillary hemangioma and known Von Hippel-Lindau.
Condition/keywords: retinal capillary hemangioma, Von Hippel-Lindau
-
Doyne Honeycomb Macular Dystrophy
Nov 9 2016 by Courtney Crawford, MD, FACS
70-year-old woman with stable macular dystrophy caused by EFEMP1 gene inherited in an autosomal dominant manner.
Condition/keywords: macular dystrophy
-
Sclerochoroidal Calcification OS
Nov 9 2016 by Courtney Crawford, MD, FACS
55-year-old male with stable choroidal lesions in the superotemporal quadrant of both eyes
Condition/keywords: idiopathic sclerochoroidal calcification
-
Sclerochoroidal Calcification OD
Nov 9 2016 by Courtney Crawford, MD, FACS
55-year-old male with stable choroidal lesions in the superotemporal quadrant of both eyes.
Condition/keywords: idiopathic sclerochoroidal calcification
-
Florid NVD
Nov 9 2016 by Courtney Crawford, MD, FACS
28-year-old woman from Saudia Arabia with significant neovascularization of the disc.
Condition/keywords: neovascularization of the disc (NVD)
-
Choroidal Osteoma
Nov 9 2016 by Courtney Crawford, MD, FACS
25-year-old woman with choroidal osteoma and associated choroidal neovascular membrane.
Condition/keywords: choroidal neovascular membrane (CNVM), choroidal osteoma
-
Stargardt's Disease - Dark Choroid
Dec 1 2016 by Courtney Crawford, MD, FACS
24-year-old male with progressive decreased vision to level of 20/200 OU.
Photographer: Kristen Dunn, North Texas Retina Consultants
Condition/keywords: choroid, Stargardt disease
-
Plaquenil Toxicity OCT
Dec 6 2016 by Courtney Crawford, MD, FACS
70-year-old woman with history of plaquenil use for rheumatoid arthritis.
Condition/keywords: plaquenil toxicity
-
Plaquenil Toxicity Fluorescein Angiogram
Dec 6 2016 by Courtney Crawford, MD, FACS
70-year-old woman with history of Plaquenil use for Rheumatoid Arthritis
Condition/keywords: plaquenil toxicity
-
Tractional Retinal Detachment and NVE
Dec 16 2016 by Courtney Crawford, MD, FACS
45-year-old-male with diabetes and decreased vision from a fovea-off tractional retinal detachment.
Photographer: Kristen Dunn
Imaging device: Optos
Condition/keywords: neovascularization elsewhere (NVE), tractional retinal detachment
-
Rhegmatogenous Retinal Detachment (Widefield/Optos)
Dec 16 2016 by Courtney Crawford, MD, FACS
65-year-old-male with curtain/veil over vision for two days.
Photographer: Ryann Nafe
Imaging device: Optos Fundus Camera
