-
By Robert T. Wendel, MD
Retinal Consultants Medical Group - Uploaded on Sep 14, 2016.
- Last modified by Caroline Bozell on Sep 15, 2016.
- Rating
- Appears in
- Retinal Hemangioblastoma PO PDT
- Condition/keywords
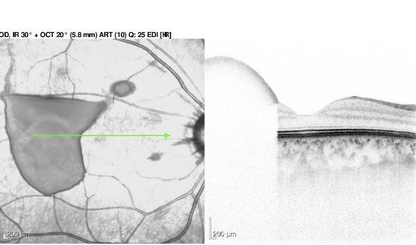
- retrohyaloid hemorrhage
- Description
- OCT of retrohyaloid hemorrhage.

Initializing download.