-
Retinal Hemangioblastoma early FA
May 15 2013 by Robert T. Wendel, MD
20-year-old male. Genetic hx not yet defined.
Condition/keywords: Von Hippel-Lindau
-
Retinal Hemangioblastoma Mid Phase FA
May 15 2013 by Robert T. Wendel, MD
20-year-old male. Genetic hx not yet defined.
Condition/keywords: Von Hippel-Lindau
-
Retinal Hemangioblastoma
May 15 2013 by Robert T. Wendel, MD
20-year-old male. Genetic hx not yet defined.
Condition/keywords: Von Hippel-Lindau
-
Retinal Hemangioblastoma PO PDT
Jun 12 2013 by Robert T. Wendel, MD
Retinal hemangioblastoma, 10 days post full fluence PDT.
-
Hemangioblastoma Post PDT X2
-
Retinal Hemangioblastoma
Jun 30 2014 by Robert T. Wendel, MD
Retinal hemangioblastoma.
Condition/keywords: retinal hemangioblastoma
-
Retinal Hemangioblastoma
Jun 30 2014 by Robert T. Wendel, MD
Retinal hemangioblastoma.
Condition/keywords: retinal hemangioblastoma
-
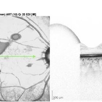
Retrohyaloid Hemorrhage OCT 2016-04-20
Sep 14 2016 by Robert T. Wendel, MD
OCT of retrohyaloid hemorrhage.
Condition/keywords: retrohyaloid hemorrhage
-
Retrohyaloid Hemorrhage 2016-04-22
-
Retrohyaloid Hemorrhage Resolving 2016-05-01
Sep 14 2016 by Robert T. Wendel, MD
Resolving hemorrhage.
Condition/keywords: retrohyaloid hemorrhage
