-
By Olivia Rainey
Retina Specialists of Michigan - Uploaded on May 28, 2016.
- Last modified by Olivia Rainey on May 5, 2020.
- Rating
- Appears in
- Miscellaneous
- Condition/keywords
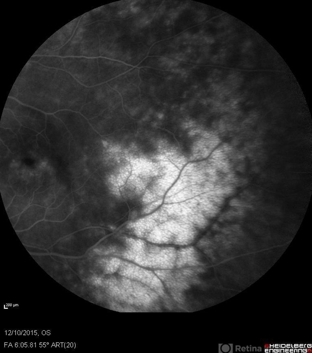
- retinoschisis, temporal retina, fluorescein angiogram (FA)
- Photographer
- Olivia Rainey
- Imaging device
-
Scanning laser ophthalmoscope
Heidelberg Spectralis - Description
- Late image from a fluorescein angiogram of a patient's left eye with retinoschisis.

Initializing download.